أمين رحمون Tags طب الأسنان 18 أبريل، 2023 النخر السنّي – العوامل المسؤولة عن تطوُّره، طرق الكشف عنه والعلاج
أمين رحمون Tags طب الأسنان 18 أبريل، 2023 النخر السنّي – العوامل المسؤولة عن تطوُّره، طرق الكشف عنه والعلاج
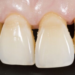
أمين رحمون Tags طب الأسنان 18 أبريل، 2023 الوجوه التجميلية للأسنان – استخداماتها، محاسنها وأبرز أنواعها
أمين رحمون Tags طب الأسنان 18 أبريل، 2023 الوجوه التجميلية للأسنان – استخداماتها، محاسنها وأبرز أنواعها